-
By Homayoun Tabandeh, MD, FASRS
Retina-Vitreous Associates Medical Group - Uploaded on Mar 1, 2014.
- Last modified by Caroline Bozell on Mar 3, 2014.
- Rating
- Appears in
- Miscellaneous
- Condition/keywords
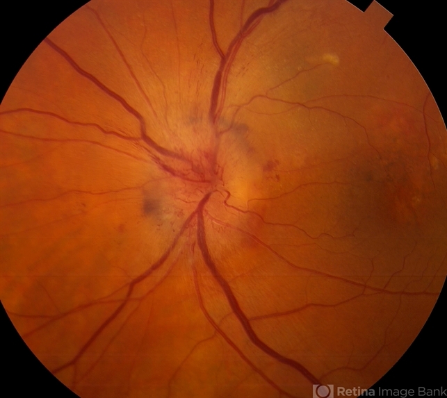
- anterior ischemic optic neuropathy, giant cell arteritis
- Description
- Arteritic anterior ischemic optic neuropathy and choroidal ischemia in a patient with giant cell arteritis.

Initializing download.