-
By David Callanan, MD
Aviceda Therapeutics - Uploaded on Feb 27, 2014.
- Last modified by Caroline Bozell on Feb 27, 2014.
- Rating
- Appears in
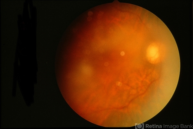
- Orbital Lymphoma
- Condition/keywords
- lymphoma
- Description
- 75-year-old black male, 20/60; 20/100; B-kappa type; diffuse; chemotherapy.

Initializing download.