
File number: 1407
Comments
-
James B. Soque, CRA, OCT-C, COA, FOPS (March 13 2014)
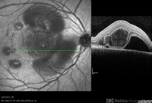
VKH is such an all consuming disease and affects many of the peripheral retinal layers. This is an excellent documentation of a line scan from an Heidelberg OCT device using the ART assisted program.
Sign in to comment.
-
By Edwin H. Ryan, MD
VitreoRetinal Surgery, PA - Uploaded on Oct 13, 2012.
- Last modified by Edwin H. Ryan, MD on Oct 13, 2012.
- Rating
- Appears in
- Miscellaneous
- Condition/keywords
- Harada's disease, exudative retinal detachment
- Imaging device
- Optical coherence tomography system
- Description
- OCT of a 35-year-old woman with acute vision loss in one eye.