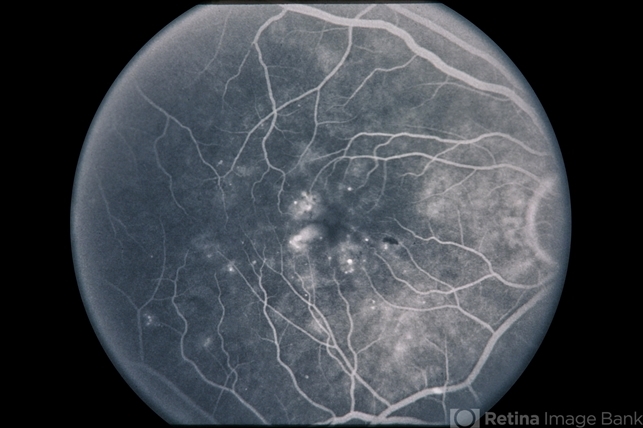
Diabetic Macular Edema

file

File number: 13559


Comments

    Sign in to comment.

    Rating
    Appears in
    Diabetic Macular Edema
    Condition/keywords
    diabetic macular edema
    Description
    56-year-old patient with diabetic macular edema.

    Related files