-
By Moazzam Parvez
Netralayam ,Kolkata
Co-author(s): Dr Krishnendu Nandi , Netralayam , Kolkata - Uploaded on May 26, 2025.
- Last modified by Moazzam Parvez on May 28, 2025.
- Rating
- Appears in
- Choroiditis
- Condition/keywords
- active choroididtis, choroiditi
- Photographer
- Dr Moazzam Parvez , Netralayam , Kolkata
- Imaging device
-
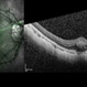
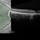
Optical coherence tomography system
Heidelberg Spectralis - Description
- Auto fluorescence photograph of an 43 year old man with active choroiditic lesion present in the left eye with recurrence

Initializing download.