-
By Moazzam Parvez
Netralayam ,Kolkata
Co-author(s): Dr Krishnendu Nandi ,Netralayam , Kolkata - Uploaded on May 13, 2025.
- Last modified by Joshua Friedman on May 13, 2025.
- Rating
- Appears in
- BCAMD
- Condition/keywords
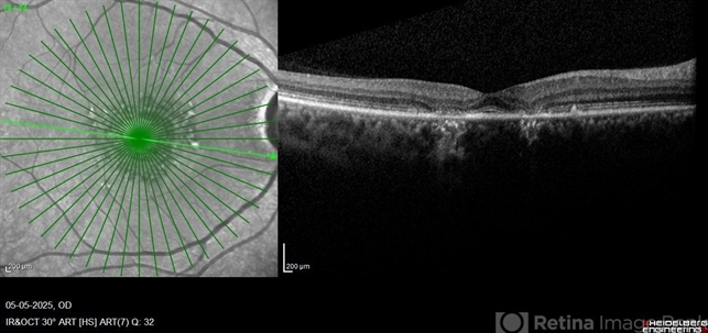
- Benign concentric annular macular dystrophy
- Photographer
- Dr Moazzam Parvez, Netralayam , Kolkata
- Imaging device
-
Fundus camera
Topcon Maestro 2 - Description
- OCT image

Initializing download.