-
By T. P . VIGNESH, MBBS,MS
Aravind eye hospital - Uploaded on Mar 7, 2025.
- Last modified by Joshua Friedman on Mar 7, 2025.
- Rating
- Appears in
- Mactel
- Condition/keywords
- IJT
- Photographer
- Sivanath
- Imaging device
-
Fundus camera
EIDON - Description
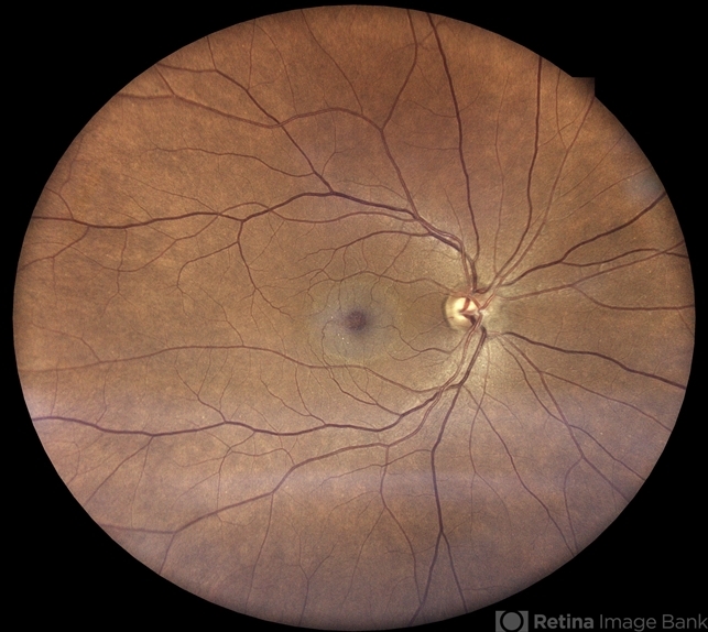
- Fundus photograph of the right eye of an 62-year-old woman with macular telangiectasia type 2.

Initializing download.