-
By Neeket R. Patel, MD
Rutgers New Jersey Medical School
Co-author(s): Neil Patel MD, Prashanth G. Iyer MD, MPH - Uploaded on Mar 1, 2025.
- Last modified by Neeket R. Patel, MD on Mar 9, 2025.
- Rating
- Appears in
- Miscellaneous
- Condition/keywords
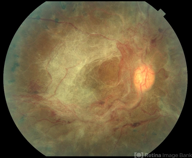
- Diabetes, retinopathy, membranes, Traction retinal detachment
- Description
- A fundus photograph of a 28-year-old male monocular patient diagnosed with proliferative diabetic retinopathy, who is highly motivated to pursue retinal surgery. This case presents a unique challenge in both management and communication, given the patient's strong desire for intervention and the guarded prognosis for visual improvement.

Initializing download.