-
By David Callanan, MD
Aviceda Therapeutics - Uploaded on Dec 30, 2013.
- Rating
- Appears in
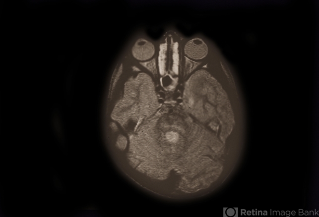
- Rhabdomyosarcoma R Orbit
- Condition/keywords
- rhabdomyosarcoma
- Description
- Four year old patient. CMC patient; embryonal rhabdo; CT, MRI, Clinical, and histology photos.

Initializing download.