- 
            
             By Jessica Hampton, BS By Jessica Hampton, BS
 Stanford Medical School
 Co-author(s): Dr. Diana Do, Stanford Medicine, Byers Eye Institute
- Uploaded on Oct 25, 2023.
- Last modified by Joshua Friedman on Oct 25, 2023.
- Rating
- Appears in
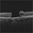
- Chronic Full Thickness Macular Hole
- Condition/keywords
- full thickness macular hole, optical coherence tomography (OCT)
- Photographer
- Dr. Diana Do, Stanford Medicine, Byers Eye Institute
- Imaging device
- Optical coherence tomography system
- Description
- Optical-coherence tomography image of a 65-year old woman with a chronic full-thickness macular hole in the left eye, recurred following three attempts at repair with pars plana vitrectomy, membrane peel, and gas tamponade.

 
        
 Initializing download.
                Initializing download. 
             
             
             
             
             
             
             
             
             
             
            