-
By Mallika Goyal, MD
Apollo Health City
Co-author(s): Sridhar A, MD - Uploaded on Dec 8, 2013.
- Last modified by Caroline Bozell on Dec 9, 2013.
- Rating
- Appears in
- Posterior Scleritis
- Condition/keywords
- posterior scleritis
- Photographer
- Mallika Goyal, MD, Apollo Health City, Hyderabad, India
- Imaging device
- Fundus camera
- Description
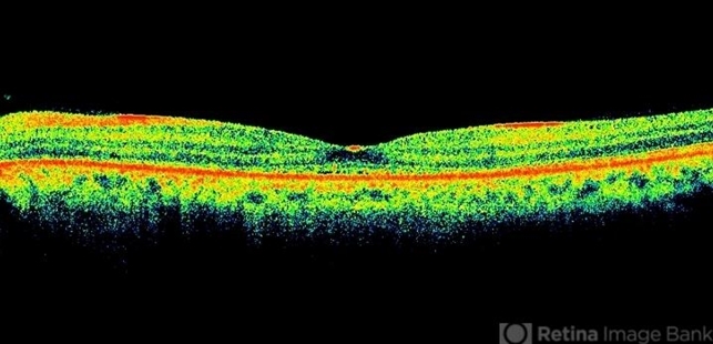
- Flat macula 3 weeks after pulsed intravenous steroids for posterior scleritis with serous macular detachment in a young lady.

Initializing download.