-
By Mallika Goyal, MD
Apollo Health City
Co-author(s): Sridhar A, MD - Uploaded on Dec 1, 2013.
- Last modified by Chayal Patel on Dec 3, 2013.
- Rating
- Appears in
- CSCR
- Condition/keywords
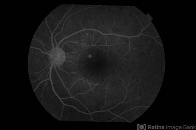
- central serous chorioretinopathy (CSCR)
- Photographer
- Mallika Goyal, MD, Apollo Hospitals, Hyderabad, India
- Description
- Left eye fluorescein angiogram shows an RPE leak. This was treated with photocoagulation.

Initializing download.