-
By Alan D. Letson, MD
OSU Havener Eye Institute - Uploaded on Oct 9, 2012.
- Last modified by Alan D. Letson, MD on Oct 10, 2012.
- Reviewed by Jennifer Hicks
- Rating
- Appears in
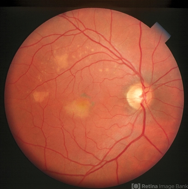
- Best Disease
- Condition/keywords
- vitelliform lesion
- Photographer
- Beverly Radcliffe
- Imaging device
- Fundus camera
- Description
- Best disease with multifocal vitelliform lesions, OD

Initializing download.