-
By Alan D. Letson, MD
OSU Havener Eye Institute
Co-author(s): Alan D Letson MD, Ohio State University, Col;umbus, Ohio - Uploaded on Oct 9, 2012.
- Last modified by Alan D. Letson, MD on Oct 9, 2012.
- Reviewed by Jennifer Hicks
- Rating
- Appears in
- Miscellaneous
- Condition/keywords
- Best disease
- Photographer
- Beverly Radcliffe
- Imaging device
- Fundus camera
- Description
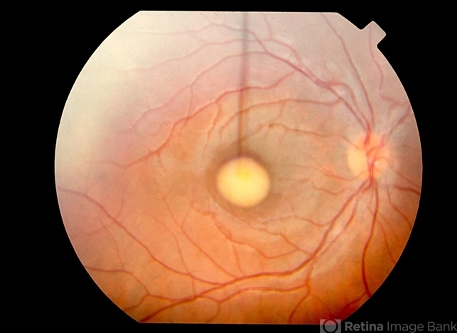
- "egg Yolk" vitelliform lesion

Initializing download.