-
By James B. Soque, CRA, OCT-C, COA, FOPS
VRC OF NEW YORK
Co-author(s): Pamela Weber MD - Uploaded on Oct 9, 2012.
- Last modified by James B. Soque, CRA, OCT-C, COA, FOPS on Oct 9, 2012.
- Rating
- Appears in
- Miscellaneous
- Condition/keywords
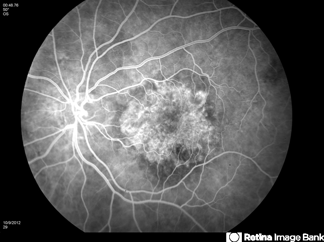
- exudative age-related macular degeneration
- Photographer
- James Soque CRA COA
- Imaging device
-
Fundus camera
Topcon TRC 50 EX, with OIS V 10.5.74 Software. 5 MP Camera - Description
- 88 y/o WM with extensive history of EMD and prominent plaque OS. Large heme OS has resolved with a variety of anti-VEGF therapy, and only a small heme, IT to fovea, remains. VA OS cc 20/50. (3) three photos: Color Photo, Early FA, and Late FA enclosed. 50 Degree, no mag.

Initializing download.