- 
            
             By Harsh  Vardhan  Singh, MS By Harsh  Vardhan  Singh, MS
 AIIMS, Guwahati, India
 Co-author(s): Iva R Kalita
- Uploaded on Jul 12, 2023.
- Last modified by Harsh Vardhan Singh, MS on Jul 20, 2023.
- Rating
- Appears in
- CNVM
- Condition/keywords
- subretinal hemorrhage, CNVM, choroidal neovascular membrane (CNVM)
- Photographer
- Harsh Vardhan Singh
- Imaging device
- Fundus camera
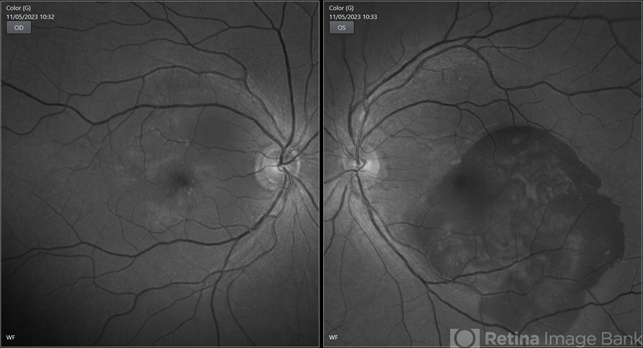
- Description
- 55-year male with left eye sub-retinal hemorrhage due to Active CNVM, Colour fundus photograph of left eye subretinal hemorrhage due to Active CNVM; Red-free image of left eye sub-retinal hemorrhage due to Active CNVM

 
        
 Initializing download.
                Initializing download. 
             
             
             
             
             
             
            