
File number: 1155
Comments
-
Michael P. Kelly, FOPS (October 8 2012)
Do you have a stereo pair of this?
Sign in to comment.
-
By David R. Chow, MD, FRCS(C)
University of Toronto - Uploaded on Oct 8, 2012.
- Last modified by David R. Chow, MD, FRCS(C) on Oct 9, 2012.
- Rating
- Appears in
- Miscellaneous
- Condition/keywords
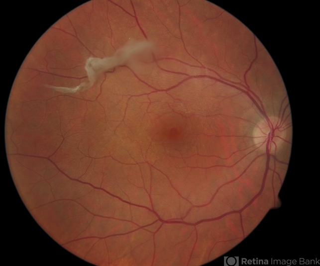
- epiretinal membrane (ERM), posterior vitreous detachment
- Description
- An ERM that through follow-up sponateously separated with the development of PVD.