-
By Kent W. Small, MD, FASRS, FACS
Macula and Retina Institute - Uploaded on Jun 2, 2023.
- Last modified by Joshua Friedman on Jun 4, 2023.
- Rating
- Appears in
- Miscellaneous
- Condition/keywords
- North Carolina Macular Dystrophy (MCDR1)
- Description
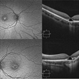
- OCT photo collage of 24 members of a single family with NCMD chr6: 99593030G>T

Initializing download.