-
By William Jacob Anderson, MD
The Retina Institute of St. Louis
Co-author(s): Niloofar Piri, MD, Saint Louis University - Uploaded on Apr 10, 2023.
- Last modified by Joshua Friedman on Apr 11, 2023.
- Rating
- Appears in
- Miscellaneous
- Condition/keywords
- ocular albinism, foveal hypoplasia, Albinism
- Photographer
- William J Anderson, MD, Saint Louis University
- Imaging device
-
Fundus camera
Heidelberg Spectralis OCT - Description
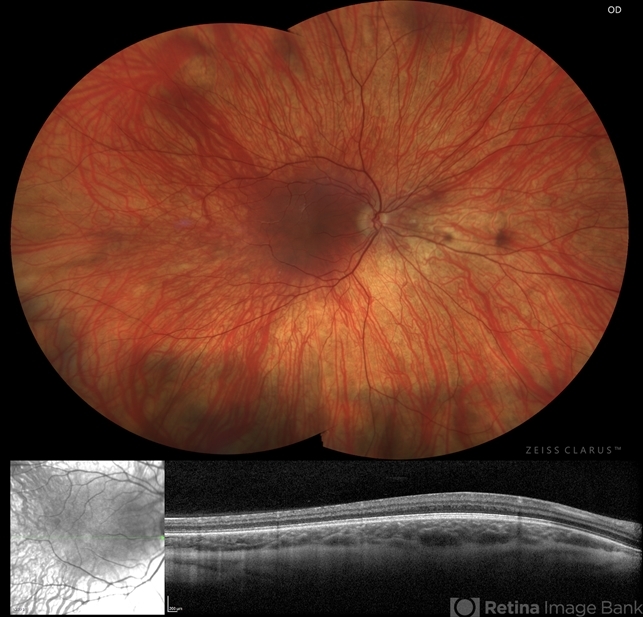
- Fundus photograph of a 21-year-old girl with ocular albinism. Clinical exam was significant for decreased visual acuity and nystagmus. OCT macula demonstrates foveal hypoplasia

Initializing download.