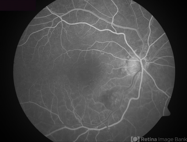
Non-Ischemic Branch Retinal Vein Occlusion With Macular Edema

file

File number: 10981


Comments

    Sign in to comment.

    Rating
    Appears in
    BRVO with macular edema
    Condition/keywords
    branch retinal vein occlusion (BRVO)
    Description
    Non-ischemic branch retinal vein occlusion with macular edema.

    Related files