-
By Kent W. Small, MD, FASRS, FACS
Macula and Retina Institute - Uploaded on Mar 13, 2023.
- Last modified by Joshua Friedman on Mar 16, 2023.
- Rating
- Appears in
- Miscellaneous
- Condition/keywords
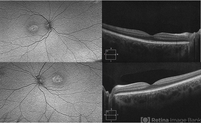
- North Carolina Macular Dystrophy (MCDR1)
- Description
- Fundus autofluorescence and OCT photos of a 16 year old female with grade 1 NCMD chr6: 99593030G>T.

Initializing download.