A project from the
American Society of Retina Specialists
Home
About
Guidelines & FAQs
Contact
Upload
Create account
Sign in
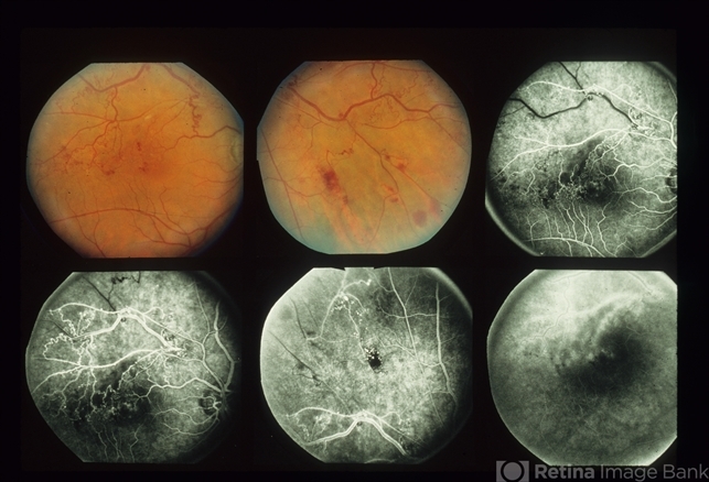
Branch Vein Occlusion (BVO)
Download
File number: 10779
Comments
Sign in
to comment.
Initializing download.
Please wait...
By
Howard Schatz, MD
Uploaded on Oct 1, 2013.
Rating
Appears in
Branch Vein Occlusion
Condition/keywords
branch vein occlusion (BVO)
Description
Fifty five year old white male, 20/20.
Related files