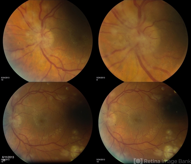
Retinal Metastasis Simulating Viral Retinitis

file

File number: 10105


Comments

    Sign in to comment.

    Rating
    Appears in
    Miscellaneous
    Condition/keywords
    retinal metastasis, fundus photograph
    Photographer
    Dan Parks, Black Hills Regional Eye Institute, Rapid City South Dakota
    Imaging device
    Fundus camera
    Description
    Fundus photographs and fluorescein angiograms of 55-year-old male.

    Related files