Search results (7 results)
-
Busacca nodules
May 2 2013 by Henry J. Kaplan, MD
Typical Busacca iris stromal nodules in sarcoid uveitis; notice the ps formation.
Condition/keywords: busacca nodulaes, granulomatous uveitis, iris nodules, sarcoid bussaca iris nodules
-
Iris Nodules (Lisch)
Dec 27 2013 by David Callanan, MD
57-year-old female patient with iris nodules.
Condition/keywords: iris nodules
-
Iris Nodules (Lisch)
Dec 27 2013 by David Callanan, MD
57-year-old female patient with iris nodules.
Condition/keywords: iris nodules
-
Koeppe nodules
May 2 2013 by Henry J. Kaplan, MD
Granulomatous Koeppe nodules at the pupillary margin.
Condition/keywords: iris nodules, Koeppe nodules
-
Koeppe Iris nodules
Apr 14 2022 by Divya Jain
Slit Lamp photograph of a 33 year old woman with first episode of acute granulomatous anterior uveitis showing mutton fat KP'S and Koeppe's nodules.
Photographer: Divya Jain
Condition/keywords: acute anterior uveitis
-
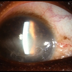
Sarcoid Bussaca Iris Nodules
Oct 11 2012 by Jeffrey G. Gross, MD, FASRS
Sarcoid bussaca iris nodules.
Condition/keywords: autoimmunity, sarcoid bussaca iris nodules, sarcoidosis
-
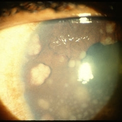
Sarcoid Bussaca Iris Nodules
Oct 11 2012 by Jeffrey G. Gross, MD, FASRS
Sarcoid bussaca iris nodules, with corneal edema.
Condition/keywords: autoimmunity, corneal edema, sarcoid bussaca iris nodules, sarcoidosis

Loading…