-
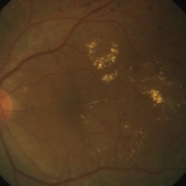
Abundant Hard Exudates - Diabetic Macular Edema
Oct 3 2013 by Gerardo Garcia-Aguirre, MD
Abundant hard exudates - diabetic macular edema.
Condition/keywords: diabetic macular edema
-
Diabetic Macular Edema
Oct 3 2013 by Gerardo Garcia-Aguirre, MD
Diabetic macular edema.
Condition/keywords: diabetic macular edema
-
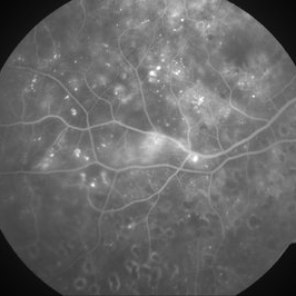
Diabetic Macular Edema - Leaking Microaneurysms
Oct 3 2013 by Gerardo Garcia-Aguirre, MD
Diabetic macular edema - leaking microaneurysms.
Condition/keywords: diabetic macular edema, diabetic retinopathy circinate
-
Diabetic Macular Edema - Leaking Microaneurysms
Oct 3 2013 by Gerardo Garcia-Aguirre, MD
Diabetic macular edema - leaking microaneurysms.
Condition/keywords: diabetic macular edema
-
Diabetic Macular Edema - Leaking Microaneurysms
Oct 3 2013 by Gerardo Garcia-Aguirre, MD
Diabetic macular edema - leaking microaneurysms.
Condition/keywords: diabetic macular edema
-
Diabetic Macular Edema - Leaking Microaneurysms
Oct 3 2013 by Gerardo Garcia-Aguirre, MD
Diabetic macular edema - leaking microaneurysms.
Condition/keywords: diabetic macular edema
