-
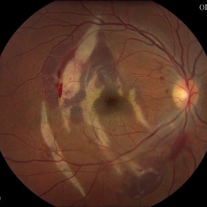
Choroidal Rupture
Jun 29 2013 by Jason S. Calhoun
Adult male with trauma to the right eye and orbital floor fracture. Hemorrhage with choroidal rupture.
Photographer: Jason S. Calhoun, Mayo Clinic Jacksonville, Florida
Imaging device: TOPCON TRC 50-EX
Condition/keywords: choroidal rupture
-
Choroidal Rupture
Jun 29 2013 by Jason S. Calhoun
Adult male with trauma to the right eye and orbital floor fracture. Hemorrhage with choroidal rupture.
Photographer: Jason S. Calhoun, Mayo Clinic Jacksonville, Florida
Imaging device: TOPCON TRC 50-EX
Condition/keywords: choroidal rupture
-
Choroidal Rupture
Jun 29 2013 by Jason S. Calhoun
Adult male with trauma to the right eye and orbital floor fracture. Hemorrhage with choroidal rupture.
Photographer: Jason S. Calhoun, Mayo Clinic Jacksonville, Florida
Imaging device: TOPCON TRC 50-EX
Condition/keywords: choroidal rupture
-
Choroidal Rupture
Jun 29 2013 by Jason S. Calhoun
Adult male with trauma to the right eye and orbital floor fracture. Hemorrhage with choroidal rupture.
Photographer: Jason S. Calhoun, Mayo Clinic Jacksonville, Florida
Imaging device: TOPCON TRC 50-EX
Condition/keywords: choroidal rupture
