-
Inflammation
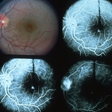
May 15 2013 by Howard Schatz, MD
29-year-old Asian male, III unknown, inflammation, right eye: 20/25; left eye: 20/20.
Condition/keywords: inflammation
-
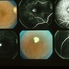
Inflammation
May 15 2013 by Howard Schatz, MD
12-year-old white female, inflammation, images 1-5: 20/100; image 6: 20/40.
Condition/keywords: inflammation
-
Inflammation
-
Inflammation
-
Inflammation
-
Inflammation
-
Inflammation
-
Inflammation
-
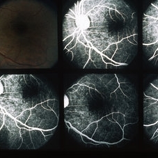
Inflammation
May 15 2013 by Howard Schatz, MD
45-year-old Asian male, inflammation, 1 month post-op. vitrec memranectomyre.
Condition/keywords: inflammation, vitrectomy
-
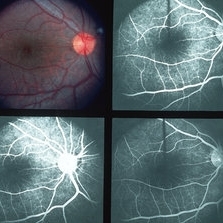
Inflammation
May 15 2013 by Howard Schatz, MD
47-year-old Asian male, inflammation, 4/200; 20/70.
Condition/keywords: inflammation
-
Inflammation
May 15 2013 by Howard Schatz, MD
30-year-old white female, 20/30 periphery and posterior RP dystrophy.
Condition/keywords: inflammation, retinitis pigmentosa (RP) dystrophy
-
Inflammation
May 15 2013 by Howard Schatz, MD
30-year-old white female, 20/50 periphery and posterior RP dystrophy.
Condition/keywords: inflammation, retinitis pigmentosa (RP) dystrophy
-
Inflammation
May 15 2013 by Howard Schatz, MD
7-year-old white male, inflammation, 20/70; 20/30.
Condition/keywords: inflammation
-
Inflammation
May 15 2013 by Howard Schatz, MD
8-year-old white male, 20/40; 20/30.
Condition/keywords: inflammation
-
Inflammation
May 15 2013 by Howard Schatz, MD
17-year-old white female, III inflammation, NV, right eye: 20/40; left eye: 20/32.
Condition/keywords: inflammation
-
Inflammation
May 15 2013 by Howard Schatz, MD
31-year-old white female, 20/20; PE HIS URI 1 month previous.
Condition/keywords: inflammation
-
Inflammation
May 15 2013 by Howard Schatz, MD
Inflammation, 20/15, CF.
Condition/keywords: chorioretinal fold, inflammation
-
Inflammation
May 15 2013 by Howard Schatz, MD
71-year-old white male, 20/100; 3/200.
Condition/keywords: inflammation
-
Inflammation
-
Inflammation
-
Inflammation
-
Inflammation
May 15 2013 by Howard Schatz, MD
44-year-old white female, chronic uveitis, 20/60; 20/400.
Condition/keywords: chronic uveitis, inflammation
-
Inflammation
-
Inflammation
May 15 2013 by Howard Schatz, MD
63-year-old white female, 20/40; 20/100; chronic retitis.
Condition/keywords: chronic retinitis
-
Inflammation
May 15 2013 by Howard Schatz, MD
Unknown inflammation, 36-year-old black female, 20/13; 20/15.
Condition/keywords: inflammation
-
Inflammation
May 15 2013 by Howard Schatz, MD
Unknown inflammation, 20/20; 20/200.
Condition/keywords: inflammation
-
Inflammation
May 15 2013 by Howard Schatz, MD
36-year-old black female, unknown inflammation, 20/13; 20/25.
Condition/keywords: inflammation
-
Inflammation
-
Inflammation
May 15 2013 by Howard Schatz, MD
67-year-old Asian female, inflammation, 20/100; 20/30.
Condition/keywords: inflammation
-
Inflammation
-
Inflammation
May 16 2013 by Howard Schatz, MD
23-year-old white male, 10/200; 20/20.
Condition/keywords: inflammation
-
Inflammation
-
Inflammation
-
Inflammation
-
Inflammation
May 16 2013 by Howard Schatz, MD
Prescribed cyclitis, cystoid gone, 20/50; 20/40.
Condition/keywords: cyclitis, cystoid, inflammation
-
Inflammation
May 16 2013 by Howard Schatz, MD
43-year-old white female, old chorioretinitis.
-
Inflammation
May 16 2013 by Howard Schatz, MD
AMPPPE, inflammation.
Condition/keywords: acute posterior multifocal placoid pigment epitheliopathy (APMPPE), inflammation
-
Inflammation
May 16 2013 by Howard Schatz, MD
52-year-old black female, inflammation, 20/70; 20/30.
Condition/keywords: inflammation
-
Inflammation
-
Inflammation
-
Inflammation
-
Inflammation
-
Inflammation
May 16 2013 by Howard Schatz, MD
25-year-old patient, fresh attack #2, 20/50.
Condition/keywords: inflammation
-
Inflammation
-
Inflammation
May 16 2013 by Howard Schatz, MD
13-year-old white female, uveitis, 20/50 OU.
Condition/keywords: inflammation, uveitis
-
Inflammation
-
Inflammation
-
Inflammation
-
Inflammation
-
Inflammation
-
Inflammation
-
Inflammation
-
Inflammation
May 16 2013 by Howard Schatz, MD
Inflammation, 53-year-old white male, Rx steroids, 20/400; 20/50, chest x-rays, many infiltrates, lung biopsy, lymphomatoid, granulomatosis.
Condition/keywords: granulomatosis, inflammation, lymphomatoid, steroids
