-
Siderosis
May 4 2013 by Henry J. Kaplan, MD
Iris heterochromia due to siderosis as a result of retained metallic intraocular foreign body; notice the dilated pupil in the involved site. #1
Condition/keywords: siderosis
-
Siderosis
May 2 2013 by Henry J. Kaplan, MD
Iron deposition in the iris epithelium and sphincter and on lens epithelium in the same patient ; #2.
Condition/keywords: siderosis
-
Siderosis
May 2 2013 by Henry J. Kaplan, MD
Magnified view of the lens demonstrated iron deposition; #3.
Condition/keywords: siderosis
-
Choroidal Rupture
May 2 2013 by Henry J. Kaplan, MD
Three traumatic choroidal rupturs one passing close to the fovea.
Condition/keywords: choroidal rupture
-
Choroidal Rupture
May 2 2013 by Henry J. Kaplan, MD
Large choroidal rupture with subretinal hemorrhage concentric to the optic disc.
Condition/keywords: choroidal rupture, subretinal hemorrhage
-
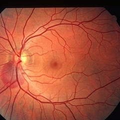
Traumatic Peripapillary Hemorrhage
May 2 2013 by Henry J. Kaplan, MD
Peripapillary subretinal hemorrhage in the left eye after blunt trauma.
Condition/keywords: blunt trauma, peripapillary hemorrhage, subretinal hemorrhage
-
Intraocular Foreign Body
May 2 2013 by Henry J. Kaplan, MD
Intraocular foreign body has passed through the anterior capsule which has made a localized cataract and is stayed inside the lens superiorly.
Condition/keywords: intraocular foreign body
-
Metalic IOFBS
May 2 2013 by Henry J. Kaplan, MD
Multiple metallic intraocular foreign bodies on the posterior pole.
Condition/keywords: intraocular foreign body
-
Berlin's Edema
May 2 2013 by Henry J. Kaplan, MD
Macular Berlin's edema following blunt trauma.
Condition/keywords: Berlin's edema
-
Traumatic Mac Scar
May 2 2013 by Henry J. Kaplan, MD
Traumatic stellate shaped subretinal macular scar.
Condition/keywords: blunt trauma, macular scar
