- 
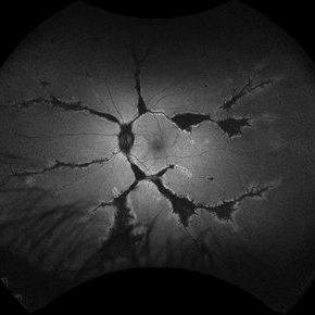
     Pigmented Paravenous Retinochoroidal Atrophy (PPRCA) Pigmented Paravenous Retinochoroidal Atrophy (PPRCA)Jun 27 2025 by Maria Letícia Costa Holanda Fundoscopy of a 42-year-old asymptomatic man with pigmented paravenous chorioretinal atrophy. Pigmented paravenous retinochoroidal atrophy (PPRCA) is a rare disorder of unknown etiology. The disease is characterized by pigment accumulation along the distribution of retinal veins. The findings are usually incidental with minimal effect on vision. Photographer: Guilherme da Cruz Reis, CLINOS Eye Hospital - Feira de Santana (BA),Brazil Condition/keywords: pigmented paravenous chorioretinal atrophy (PPCRA) 
- 
     Pigmented Paravenous Retinochoroidal Atrophy (PPRCA) Pigmented Paravenous Retinochoroidal Atrophy (PPRCA)Jun 27 2025 by Maria Letícia Costa Holanda Fundoscopy of a 42-year-old asymptomatic man with pigmented paravenous chorioretinal atrophy. Pigmented paravenous retinochoroidal atrophy (PPRCA) is a rare disorder of unknown etiology. The disease is characterized by pigment accumulation along the distribution of retinal veins. The findings are usually incidental with minimal effect on vision. Photographer: Guilherme da Cruz Reis, CLINOS Eye Hospital - Feira de Santana (BA),Brazil Condition/keywords: Pigmented Paravenous Retinochoroidal Atrophy 
- 
     Pigmented Paravenous Retinochoroidal Atrophy (PPRCA) Pigmented Paravenous Retinochoroidal Atrophy (PPRCA)Jun 27 2025 by Maria Letícia Costa Holanda Fundoscopy of a 42-year-old asymptomatic man with pigmented paravenous chorioretinal atrophy. Pigmented paravenous retinochoroidal atrophy (PPRCA) is a rare disorder of unknown etiology. The disease is characterized by pigment accumulation along the distribution of retinal veins. The findings are usually incidental with minimal effect on vision. Photographer: Guilherme da Cruz Reis, CLINOS Eye Hospital - Feira de Santana (BA),Brazil Condition/keywords: pigmented paravenous chorioretinal atrophy (PPCRA) 
- 
     Pigmented Paravenous Retinochoroidal Atrophy (PPRCA) Pigmented Paravenous Retinochoroidal Atrophy (PPRCA)Jun 27 2025 by Maria Letícia Costa Holanda Fundoscopy of a 42-year-old asymptomatic man with pigmented paravenous chorioretinal atrophy. Pigmented paravenous retinochoroidal atrophy (PPRCA) is a rare disorder of unknown etiology. The disease is characterized by pigment accumulation along the distribution of retinal veins. The findings are usually incidental with minimal effect on vision. Photographer: Guilherme da Cruz Reis, CLINOS Eye Hospital - Feira de Santana (BA),Brazil Condition/keywords: pigmented paravenous chorioretinal atrophy (PPCRA) 
- 
     Pigmented Paravenous Retinochoroidal Atrophy (PPRCA) Pigmented Paravenous Retinochoroidal Atrophy (PPRCA)Jun 30 2025 by Maria Letícia Costa Holanda Fundoscopy of a 42-year-old asymptomatic man with pigmented paravenous chorioretinal atrophy. Pigmented paravenous retinochoroidal atrophy (PPRCA) is a rare disorder of unknown etiology. The disease is characterized by pigment accumulation along the distribution of retinal veins. The findings are usually incidental with minimal effect on vision. Photographer: Guilherme da Cruz Reis, CLINOS Eye Hospital - Feira de Santana (BA),Brazil Condition/keywords: pigmented paravenous chorioretinal atrophy (PPCRA) 
