-
Healed Choroiditis
May 14 2025 by Moazzam Parvez
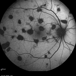
Auto fluorescence image of a 42 year old woman with healed choroiditic patches.
Photographer: Dr Moazzam Parvez, Netralayam, Kolkata
Imaging device: Heidelberg Spektrales
Condition/keywords: multifocal choroiditis
