- 
     Right Eye Color Photo With Hemorrhages in Case of CNVM With Angioid Streaks Right Eye Color Photo With Hemorrhages in Case of CNVM With Angioid StreaksNov 29 2024 by Anand Temkar A 45 year old male came with chief complaint of blurring vision in right eyes since past 4 days. His vision is 6/12 in right eye and 6/9 in left eye. His vision was 14 mmHg in right eye and 16 mmHg in left eye. He was diagnosed with Angioid Streaks in both eyes about a year ago, then he developed choroidal neovascularization in his left eye 8 months ago, for which he received AntiVEGF injections x 3. Left eye is a stable eye now. Patient presented with right eye choroidal neovascularization in a case of Angioid Streaks on recent follow up. We have advised him right eye AntiVEGF injections x 3. In this image, the right eye color photo shows bleed from CNVM in case of angioid streaks. Photographer: Dr.Anand Temkar- Retina Foundation, Ahmedabad Imaging device: Mirante Condition/keywords: Angioid Streaks, choroidal neovascular membrane (CNVM) 
- 
     Left Eye Color Photo With Extrafoveal CNVM (Stable) in Case of Angioid Streaks Left Eye Color Photo With Extrafoveal CNVM (Stable) in Case of Angioid StreaksNov 29 2024 by Anand Temkar A 45 year old male came with chief complaint of blurring vision in right eyes since past 4 days. His vision is 6/12 in right eye and 6/9 in left eye. His vision was 14 mmHg in right eye and 16 mmHg in left eye. He was diagnosed with Angioid Streaks in both eyes about a year ago, then he developed choroidal neovascularization in his left eye 8 months ago, for which he received AntiVEGF injections x 3. Left eye is a stable eye now. Patient presented with right eye choroidal neovascularization in a case of Angioid Streaks on recent follow up. We have advised him right eye AntiVEGF injections x 3. In this image, the left eye color photo shows angioid streaks with extrafoveal CNVM ( stable ) ( status post antiVEGF x 3 ) Photographer: Dr.Anand Temkar- Retina Foundation, Ahmedabad Imaging device: Mirante Condition/keywords: Angioid Streaks, choroidal neovascular membrane (CNVM) 
- 
     RE OCTA (ORCC) in case of CNVM with Angioid Streaks RE OCTA (ORCC) in case of CNVM with Angioid StreaksNov 29 2024 by Anand Temkar A 45 year old male came with chief complaint of blurring vision in right eyes since past 4 days. His vision is 6/12 in right eye and 6/9 in left eye. His vision was 14 mmHg in right eye and 16 mmHg in left eye. He was diagnosed with Angioid Streaks in both eyes about a year ago, then he developed choroidal neovascularization in his left eye 8 months ago, for which he received AntiVEGF injections x 3. Left eye is a stable eye now. Patient presented with right eye choroidal neovascularization in a case of Angioid Streaks on recent follow up. We have advised him right eye AntiVEGF injections x 3. In this image we can see the abnormal vessels at outer retina chorio-capillary ( ORCC ) junction in right eye. Photographer: Dr.Anand Temkar- Retina Foundation, Ahmedabad Imaging device: Mirante Condition/keywords: Angioid Streaks, choroidal neovascular membrane (CNVM), OCT Angiography 
- 
     Both Eyes Fundus Autofluorescence in Case of CNVM with Angioid Streaks Both Eyes Fundus Autofluorescence in Case of CNVM with Angioid StreaksNov 29 2024 by Anand Temkar A 45 year old male came with chief complaint of blurring vision in right eyes since past 4 days. His vision is 6/12 in right eye and 6/9 in left eye. His vision was 14 mmHg in right eye and 16 mmHg in left eye. He was diagnosed with Angioid Streaks in both eyes about a year ago, then he developed choroidal neovascularization in his left eye 8 months ago, for which he received AntiVEGF injections x 3. Left eye is a stable eye now. Patient presented with right eye choroidal neovascularization in a case of Angioid Streaks on recent follow up. We have advised him right eye AntiVEGF injections x 3. In this image we can see fundus hypoautofluorescence in right eye due to hemorrhages and angioid streaks and in left eye fundus hypoautofluorescence is noted due to angioid streaks. Photographer: Dr.Anand Temkar- Retina Foundation, Ahmedabad Imaging device: Mirante Condition/keywords: Angioid Streaks, choroidal neovascular membrane (CNVM), fundus autofluorescence (FAF) 
- 
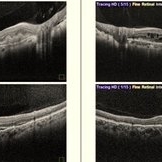
     Both Eyes OCT in Case of CNVM with Angioid Streaks Both Eyes OCT in Case of CNVM with Angioid StreaksNov 29 2024 by Anand Temkar A 45 year old male came with chief complaint of blurring vision in right eyes since past 4 days. His vision is 6/12 in right eye and 6/9 in left eye. His vision was 14 mmHg in right eye and 16 mmHg in left eye. He was diagnosed with Angioid Streaks in both eyes about a year ago, then he developed choroidal neovascularization in his left eye 8 months ago, for which he received AntiVEGF injections x 3. Left eye is a stable eye now. Patient presented with right eye choroidal neovascularization in a case of Angioid Streaks on recent follow up. We have advised him right eye AntiVEGF injections x 3. In this image we can see the subretinal hyperreflective material in right eye and in left eye few cystic spaces are noted. Photographer: Dr.Anand Temkar- Retina Foundation, Ahmedabad Imaging device: Mirante Condition/keywords: Angioid Streaks, choroidal neovascular membrane (CNVM) 
