-
Tractional Detachment of Retina
Aug 21 2024 by Jordyn Beckman
18 year old male with tractional detachment of Retina, chronic macular hole and silicone oil s/p RD repair x2. BCVA CF @2 ft, fellow eye prosthetic.
Photographer: Jordyn Beckman
Imaging device: Optos California
Condition/keywords: Macular hole, preretinal fibrosis, Retinal Detachment, scleral buckle, silicone oil, TRACTION, tractional retinal detachment
-
Idiopathic Uveal Effusion Syndrome
Aug 22 2024 by Jordyn Beckman
61 year old male with Idiopathic Uveal Effusion Syndrome with starry night appearance on fluorescein. 3 weeks s/p single external drainage retinotomy and 9 weeks of oral pred with recurrent choroidal effusions. Has since returned to surgery for secondary drainage retinotomy; subretinal fluid remain persistent.
Photographer: Jordyn Beckman
Imaging device: Optos California
Condition/keywords: chorioretinitis, Choroidal, exudative detachment, window defect
-
Cloquet Canal
Sep 20 2024 by Jordyn Beckman
79 year old male with wet AMD, no PVD, presents with stable cloquet canal.
Photographer: Jordyn Beckman
Imaging device: Optos California
Condition/keywords: Cloquet Canal, hyaloid membrane, punctum caecum, stilling's canal
-
Von Hippel-Lindau Syndrome
Jan 7 2025 by Jordyn Beckman
Fundus photograph of an 37 year old female presents with reddish vascular lesion with feeder vessels for possible Von Hippel-Lindau Syndrome.
Photographer: Jordyn Beckman
Imaging device: California Optos
Condition/keywords: color fundus photograph, feeder vessel, genetic disorder, pre-cryotherapy
-
Von Hippel-Lindau Syndrome on FA
Jan 7 2025 by Jordyn Beckman
Fluorescein angiography photograph of an 37 year old female presents with reddish vascular lesion with feeder vessels for possible Von Hippel-Lindau Syndrome.
Photographer: Jordyn Beckman
Imaging device: California Optos
Condition/keywords: feeder vessel, FLUORESCEIN ANGIOGRAPHY, genetic disorder, pre-cryotherapy, Von Hippel-Lindau
-
Dome Shaped Macula
Jan 7 2025 by Jordyn Beckman
Autofluorescence photograph of 36 year old woman with Dome Shaped Macula with hypoautofluorescence and hyperautofluorescence centrally.
Photographer: Jordyn Beckman
Imaging device: California Optos
Condition/keywords: autoflorescence, convex protrusion, dome shaped macula, high myopia, hyperautofluorescent centrally, hypoautofluorescence
-
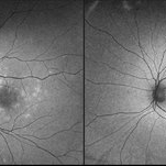
Resolved Multiple Evanescent White Dot Syndrome
Feb 18 2025 by Jordyn Beckman
Autofluorescence fundus photographs of Resolved Multiple Evanescent White Dot Syndrome in a 28 year old female with previous hyperfluorescent punctate spots throughout the posterior pole.
Photographer: Jordyn Beckman, Retina Consultants of Carolina, P.A.
Imaging device: California Optos
Condition/keywords: autofluorescence imaging, grey-white lesions, multiple evanescent white dot syndrome (MEWDS), scattered punctate
-
Actively Bleeding NVE
Apr 1 2025 by Jordyn Beckman
47 year old woman presented with actively bleeding NVE temporally on exam with complaints of foggy vision and floaters.
Photographer: Jordyn Beckman, Retina Consultants of Carolina, P.A.
Imaging device: Optos California
Condition/keywords: active bleeding, Elevated retinal neovascularization, vitreous hemorrhage
-
Retinitis Pigmentosa
Apr 1 2025 by Jordyn Beckman
63 year old woman with Retinitis Pigmentosa observed over time with peripheral loss. Over the span of 5 years BCVA changed from 20/25 to 20/50.
Photographer: Jordyn Beckman, Retina Consultants of Carolina, P.A.
Imaging device: Optos California
Condition/keywords: atrophy, bone spicules, retinitis pigmentosa
