-
Choroidal Macrovessel
Feb 18 2024 by Austin Pereira, MD
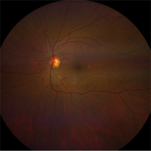
Fundus photograph of a 60 year-old asymptomatic female with a choroidal macrovessel.
Photographer: Austin Pereira, University of Toronto, Toronto, Ontario, Canada
Condition/keywords: choroid
