-
SUNSET THROUGH A VEIL
Oct 12 2023 by Deepti A Kulkarni, M.B.B.S., D.N.B., F.V.R.
HIGH MYOPE WITH A CORRECTION OF -24D. SUDDEN VISION LOSS FOLLOWING TRAUMA.
Photographer: DEEPTI KULKARNI, DR ANIL KULKARNI EYE HOSPITAL, MIRAJ, INDIA
Imaging device: TOPCON
Condition/keywords: GIANT RETINAL TEAR
-
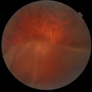
SUNSET THROUGH A VEIL
Oct 12 2023 by Deepti A Kulkarni, M.B.B.S., D.N.B., F.V.R.
HIGH MYOPE WITH A CORRECTION OF -24D. SUDDEN VISION LOSS FOLLOWING TRAUMA. SUPERIOR RETINA FOLDED ON TO THE INFERIOR RETINA MASKING THE DISC IN A TRANSLUCENT VEIL.
Photographer: DEEPTI KULKARNI, DR ANIL KULKARNI EYE HOSPITAL, MIRAJ, INDIA
Imaging device: TOPCON
Condition/keywords: GIANT RETINAL TEAR
