-
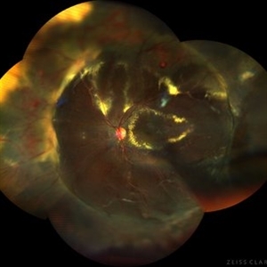
Morning Glory Syndrome
Jul 27 2023 by Karen Flores Guevara
Fundus photograph of a 30-year-old woman with Morning Glory Syndrome first diagnosed.
Photographer: Karen Flores-Guevara, MD, Asociación para Evitar la Ceguera en México I.A.P.
Condition/keywords: Morning Glory Syndrome
-
Choroidal Osteoma
Jul 27 2023 by Karen Flores Guevara
Fundus photograph of a 25-year-old woman with a choroidal osteoma and choroidal neovascularization associated. The right eye has also a choroidal osteoma.
Photographer: Karen Flores-Guevara, MD, Asociación para Evitar la Ceguera en México I.A.P.
Condition/keywords: choroidal osteoma
-
Ocular Albinism
Sep 20 2023 by Karen Flores Guevara
Fundus photograph of a 4 year-old children with ocular albinism type 1. The genetic test showed a GPR143 pathogenic variant.
Photographer: Kitty Carolina Franco-Ramírez, Asociación para Evitar la Ceguera en México
Condition/keywords: ocular albinism
-
Ruptured Macroaneurysm
Sep 20 2023 by Karen Flores Guevara
Fundus photograph of an 45-year-old woman with a ruptured macroaneurysm. 1st day of presentation.
Photographer: Karen Flores Guevara
Condition/keywords: ruptured macroaneurysm
-
Ruptured Macroaneurysm
Sep 20 2023 by Karen Flores Guevara
Fundus photograph of an 45-year-old woman with a ruptured macroaneurysm. 1 week control.
Photographer: Karen Flores-Guevara, Asociación para Evitar la Ceguera en México I.A.P. 1 day of presentation.
Condition/keywords: ruptured macroaneurysm
-
Choroidal Rupture
Nov 5 2023 by Karen Flores Guevara
Fundus photograph of a 19-year-old man with a choroidal rupture.
Photographer: Hector Arturo Mendez-Ponce MD, Karen Flores-Guevara MD Asociación para Evitar la Ceguera en México
Condition/keywords: Choroidal, rupture, trauma
-
Optic nerve hypoplasia
Jan 15 2024 by Karen Flores Guevara
Fundus photograph of a 3 year-old woman with optic nerve hypoplasia.
Photographer: Andrés Santiago Pérez-Giraldez, MD. Asociación para evitar la Ceguera en Mexico I.A.P. Mexico
Condition/keywords: hypoplasia, optic nerve
-
Serpiginous-Choroiditis-Like
Mar 30 2024 by Karen Flores Guevara
Fundus photograph of a 26-year-old woman with a serpiginous-choroiditis-like presentation secundary to a tuberculosis activation disease, started with visual acuity and systemic syntomps
Photographer: Andrés Santiago Pérez-Giraldez, MD. Asociación para evitar la Ceguera en Mexico I.A.P. Mexico
Condition/keywords: ocular tuberculosis, serpiginous choroiditis, tuberculosis
-
Sub-Inner Limiting Membrane Hemorrhage
Mar 30 2024 by Karen Flores Guevara
Fundus photograph of a 14-year-old-man with a Sub-inner limiting membrane hemorrhage.
Photographer: Diana Elizabeth Arellano AcostaPediatric Retina,Asociación para Evitar la Ceguera en México IAP. México
Condition/keywords: Sub-inner limiting membrane haemorrhage
-
Coats Disease
Mar 30 2024 by Karen Flores Guevara
Fundus photograph of a 9-year-old child with coats´ disease history of Scleral Buckling due to Retinal Detachment.
Photographer: Diana Elizabeth-Arellano-Acosta-MD Pediatric Retina,Asociación para Evitar la Ceguera en México IAP. México
Condition/keywords: Coats' disease
-
Toxoplasmosis Disease
Mar 30 2024 by Karen Flores Guevara
Fundus photograph of a 7-year-old-child with a macular scar observed over time for growth.
Photographer: Diana Elizabeth Arellano Acosta MD Pediatric Retina,Asociación para Evitar la Ceguera en México IAP. México
Condition/keywords: toxoplasmosis chorioretinitis
-
Retinal Detachment
Jan 15 2025 by Karen Flores Guevara
Fundus photograph of a 52-year-old woman with a retinal detachment.
Photographer: Jesús Tonatiuh López-Bocanegra MD, Fidel Ivan Flores-Perez MD Asociación para Evitar la Ceguera en México I.A.P.
Condition/keywords: regma
-
Retinal Detachment and Total Choroidal Detachment
Jan 8 2026 by Karen Flores Guevara
Fundus photograph of a 30-year-old man with retinal detachment and total choroidal detachment.
Photographer: Miroslava Ruiz-Sanchez, Hospital Asociacion para Evitar la Ceguera en México I.A.P. Ciudad de México.
Condition/keywords: choroidal detachment, PVR, retinal detachment, Young Male
