-
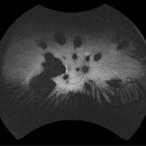
Idiopathic multifocal choroiditis (IMFC) FAF
Jul 21 2023 by Mohammadkarim Johari
23 -year- old man with gradually decreased vision specially in right eye, multiple lesions are in the retinal and choroidal tissue. IMCP causes episodes of inflammation that can occur bilaterally, simultaneously or separately
Photographer: Mohammadkarim Johari, Shiraz university of medical science
Condition/keywords: inflammatory choroidopathy, multifocal chorioretinitis (MCP), multifocal choroiditis
-
Idiopathic multifocal choroiditis (IMFC)
Jul 21 2023 by Mohammadkarim Johari
23 -year- old man with gradually decreased vision specially in right eye, multiple lesions are in the retinal and choroidal tissue. IMCP causes episodes of inflammation that can occur bilaterally, simultaneously or separately
Photographer: Mohammadkarim Johari, Shiraz university of medical science
Condition/keywords: inflammatory choroidopathy, multifocal chorioretinitis (MCP), multifocal choroiditis
-
Idiopathic multifocal choroiditis (IMFC) FAF
Jul 21 2023 by Mohammadkarim Johari
23 -year- old man with gradually decreased vision specially in right eye, multiple lesions are in the retinal and choroidal tissue. IMCP causes episodes of inflammation that can occur bilaterally, simultaneously or separately
Photographer: Mohammadkarim Johari, Shiraz university of medical science
Condition/keywords: inflammatory choroidopathy, multifocal chorioretinitis (MCP), multifocal choroiditis
-
Idiopathic multifocal choroiditis (IMFC)
Jul 21 2023 by Mohammadkarim Johari
23 -year-old man with gradually decreased vision specially in right eye, multiple lesions are in the retinal and choroidal tissue. IMCP causes episodes of inflammation that can occur bilaterally, simultaneously or separately
Photographer: Mohammadkarim Johari, Shiraz university of medical science
Condition/keywords: inflammatory choroidopathy, multifocal chorioretinitis (MCP), multifocal choroiditis
-
RCH-OD
Jul 28 2023 by Mohammadkarim Johari
15 year old girl with bilateral vision loss, in right eye a nodular, orange-colored lesions that grow in the outer layers of the retina is seen in supra-temporal quadrant of retina. Retinal capillary hemangioma is a benign retinal hamartoma that may be associated with von Hippel-Lindau (VHL) disease
Photographer: Mohammadkarim Johari, Shiraz university of medical science
Condition/keywords: retinal capillary hemangioblastoma, retinal capillary hemangioma
-
RP with VPT
Jul 29 2023 by Mohammadkarim Johari
25 years old boy, with past history of RP, recently he came with decreased vision in Rt eye.
Photographer: Mohammadkarim Johari, Shiraz university of medical science
Condition/keywords: retinitis pigmentosa (RP) dystrophy, vascular anomaly, vasoproliferative retinopathy, vasoproliferative vitreoretinopathy
-
CNV secondary to Angioid Streaks
Aug 2 2023 by Mohammadkarim Johari
right eye fundus photography of 60-year-old man who had CNV secondary to Angioid Streaks, and developed inferior temporal BRVO.
Photographer: Mohammadkarim Johari, Shiraz university of medical science
Condition/keywords: angioid streaks, branch retinal vein occlusion (BRVO), choroidal neovascularization (CNV)
-
Post Polar Cataract
Aug 5 2023 by Mohammadkarim Johari
30-year-old female with decreased vision in left eye, in examination posterior sub-capsular cataract was detected, Although it is mild but the shadow of lens opacity is significantly on fovea.
Photographer: Mohammadkarim Johari, Shiraz university of medical science
Condition/keywords: cataract, posterior subcapsular changes, posterior subcapsular polar cataract
