- 
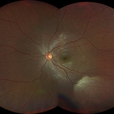
     Myelinated Nerve Fibres Myelinated Nerve FibresJul 20 2023 by Harsh Vardhan Singh, MS Fundus photograph of 32-year-old male with myelinated nerve fibre as incidental finding Photographer: Dr Harsh Vardhan Singh, AIIMS, Guwahati Imaging device: Zeiss Clarus 700 Condition/keywords: Medullated Nerve fibres, MNF, Myelinated Nerve Fibres 
- 
     Myelinated Nerve Fibres Myelinated Nerve FibresJul 20 2023 by Harsh Vardhan Singh, MS Fundus photograph of 32-year-old male with myelinated nerve fibre as incidental finding Photographer: Dr Harsh Vardhan Singh, AIIMS, Guwahati Imaging device: Zeiss Clarus 700 Condition/keywords: Medullated Nerve fibres, MNF, Myelinated Nerve Fibres 
