- 
     27-Gauge Vitrectomy 27-Gauge VitrectomyAug 3 2013 by Yusuke Oshima, MD, PhD A high-performance 27-gauge vitrectomy system (27+) was used for treating a case with primary rhegmatogenous retinal detachment complicated with macular hole. Condition/keywords: macular hole, video, vitrectomy 
- 
     Traction Retinal Detachment Associated With Proliferative Diabetic Retinopathy Traction Retinal Detachment Associated With Proliferative Diabetic RetinopathyAug 3 2013 by Yusuke Oshima, MD, PhD Wide-angle fundus photograph of a 47-year-old man with massive fibrovascular proliferation and traction retinal detachment due to proliferative diabetic retinopathy. Condition/keywords: tractional retinal detachment 
- 
     Retinal Capillary Hemangioma Retinal Capillary HemangiomaMar 21 2013 by Yusuke Oshima, MD, PhD A peripheral retinal capillary hemangioma. Photographer: Yusuke Takada, Osaka University Graduate School of Medicine Condition/keywords: retinal capillary hemangioma 
- 
     Retinal Detachment Due to Traumatic Retinal Breaks Retinal Detachment Due to Traumatic Retinal BreaksMar 21 2013 by Yusuke Oshima, MD, PhD Focal retinal detachment secondary to traumatic retinal breaks. Photographer: Yusuke Takada, Osaka University Graduate School of Medicine 
- 
     Idiopathic Macular Hole Idiopathic Macular HoleMar 21 2013 by Yusuke Oshima, MD, PhD SD-OCT finding of a idiopathic macular hole. Photographer: Yusuke Takada, Osaka University Graduate School of Medicine Condition/keywords: macular hole 
- 
     Idiopathic Macular Hole Idiopathic Macular HoleMar 21 2013 by Yusuke Oshima, MD, PhD Fundus photograph of a idiopathic macular hole. Photographer: Yusuke Takada, Osaka University Graduate School of Medicine Condition/keywords: macular hole 
- 
     Epiretinal Membrane Proliferation Epiretinal Membrane ProliferationMar 21 2013 by Yusuke Oshima, MD, PhD Epiretinal membrane proliferation Photographer: Yusuke Takada, Osaka University Graduate School of Medicine Condition/keywords: epiretinal membrane (ERM) 
- 
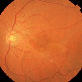
     Pit Macular Syndrome Pit Macular SyndromeMar 21 2013 by Yusuke Oshima, MD, PhD Fundus photograph of a 38-year-old man with macular detachment associated with an optic disc pit. Photographer: Yusuke Takada, Osaka University Graduate School of Medicine Condition/keywords: congenital optic nerve pit 
- 
     Extra-Macula Subretinal Hemorrhage Extra-Macula Subretinal HemorrhageMar 21 2013 by Yusuke Oshima, MD, PhD Fundus photograph of an 86-year-old woman with an extra-macula subretinal hemorrhage associated with polypoidal choroidal vasculopathy. Photographer: Yusuke Takada, Osaka University Graduate School of Medicine 
- 
     Submacular Hemorrhage After Pneumatic Displacement Submacular Hemorrhage After Pneumatic DisplacementMar 21 2013 by Yusuke Oshima, MD, PhD Fundus photograph demonstrates an effective displacement of the subretinal hemorrhage from the fovea. Photographer: Yusuke Takada, Osaka University Graduate School of Medicine Condition/keywords: submacular hemorrhage 
- 
     Submacular Hemorrhage Before Treatment Submacular Hemorrhage Before TreatmentMar 21 2013 by Yusuke Oshima, MD, PhD Fundus photograph of an 83-year-old man with a submacular hemorrhage due to polypoidal choroidal vasculopathy. Photographer: Yusuke Takada, Osaka University Graduate School of Medicine Condition/keywords: submacular hemorrhage 
- 
     Myopic CNV Myopic CNVMar 21 2013 by Yusuke Oshima, MD, PhD Fluorescein angiogram illustrates a subfoveal myopic CNV. Photographer: Yusuke Takada, Osaka University Graduate School of Medicine Condition/keywords: myopic choroidal neovascularization (CNV) 
- 
     Idiopathic Choroidal Neovascularization Idiopathic Choroidal NeovascularizationMar 21 2013 by Yusuke Oshima, MD, PhD Fluorescein angiogram of a 36-year-old woman with an idiopathic juxtafoveal CNV. Photographer: Yusuke Takada, Osaka University Graduate School of Medicine Condition/keywords: choroidal neovascularization (CNV) 
- 
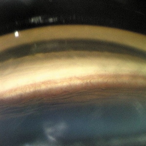
    ---thumb.jpg/image-square;max$300,300.ImageHandler) Subconjunctival Air Bubbles Subconjunctival Air BubblesMar 21 2013 by Yusuke Oshima, MD, PhD Slit lamp photograph demonstrates subconjunctival air bubbles, which is attributed to incomplete self-sealing of sclerotomies in a 25-gauge microincision vitrectomy surgery. Photographer: Yusuke Takada, Osaka University Graduate School of Medicine Condition/keywords: complication 
- 
     Falciform Retinal Detachment Associated with Toxocariasis (Photo-2) Falciform Retinal Detachment Associated with Toxocariasis (Photo-2)Mar 21 2013 by Yusuke Oshima, MD, PhD Fundus photograph of a 6-year-old boy with a falciform retinal detachment suspiciously associated with toxocariasis. Photographer: Yusuke Takada, Osaka University Graduate School of Medicine 
- 
     Falciform Retinal Detachment Associated with Toxocariasis (Photo-1) Falciform Retinal Detachment Associated with Toxocariasis (Photo-1)Mar 21 2013 by Yusuke Oshima, MD, PhD Fundus photograph of a 6-year-old boy with a falciform retinal detachment suspiciously associated with toxocariasis. Photographer: Yusuke Takada, Osaka University Graduate School of Medicine 
- 
     Regression of Iris Neovascularization After Intravitreal Bevacizumab Regression of Iris Neovascularization After Intravitreal BevacizumabMar 21 2013 by Yusuke Oshima, MD, PhD Remarkable regression of iris neovascularization one day after intravitreal bevacizumab. Photographer: Yusuke Takada, Osaka University Graduate School of Medicine Condition/keywords: intravitreal bevacizumab, iris neovascularization 
- 
     Advanced Stage of Neovascular Glaucoma Advanced Stage of Neovascular GlaucomaMar 21 2013 by Yusuke Oshima, MD, PhD An 82-year-old man with a advanced stage of neovascular glaucoma. A slit-lamp photograph illustrates iris ectropion with prominent iris neovascularization. Photographer: Yusuke Takada, Osaka University Graduate School of Medicine Condition/keywords: neovascular glaucoma 
- 
     Angle Neovascularization Angle NeovascularizationMar 21 2013 by Yusuke Oshima, MD, PhD Angle neovascularization due to ischemic CRVO. Photographer: Yusuke Oshima, MD, PhD, Osaka University Graduate School of Medicine Condition/keywords: angle neovascularization, gonioscopy 
- 
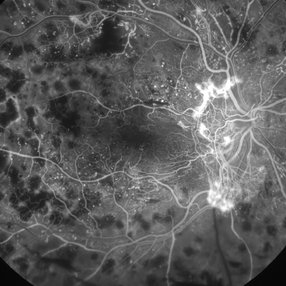
     Fluorescein Angiogram of the Case with Proliferative Diabetic Retinopathy Fluorescein Angiogram of the Case with Proliferative Diabetic RetinopathyMar 21 2013 by Yusuke Oshima, MD, PhD Fluorescein angiography demonstrates a prominent neovascular network at the disc with an enlarged avascular zone at the macula. Photographer: Yusuke Takada, Osaka University Graduate School of Medicine 
- 
     Proliferative Diabetic Retinopathy Proliferative Diabetic RetinopathyMar 21 2013 by Yusuke Oshima, MD, PhD Fundus photograph of a 62-year-old man with PDR. Photographer: Yusuke Takada, Osaka University Graduate School of Medicine 
- 
     Diabetic Traction Retinal Detachment Diabetic Traction Retinal DetachmentMar 21 2013 by Yusuke Oshima, MD, PhD Fundus photograph of a 42-year-old man with TRD due to PDR. Photographer: Taku Wakabayashi, MD, Osaka University Graduate School of Medicine 
- 
     Diabetic Macular Heterotopia Diabetic Macular HeterotopiaMar 21 2013 by Yusuke Oshima, MD, PhD Fundus photograph demonstrates a macular heterotopia secondary to the fibrovascular mambrane formation. Photographer: Yusuke Takada, Osaka University Graduate School of Medicine 
- 
     3D-Image of Fluorescein Angiogram in a PDR Case 3D-Image of Fluorescein Angiogram in a PDR CaseMar 21 2013 by Yusuke Oshima, MD, PhD A composite 3D-image of the fluorescein angiogram of the same PDR case. Photographer: Yusuke Takada, Osaka University Graduate School of Medicine Imaging device: OPTOS 200Tx 
- 
     Fluorescein Angiogram of Proliferative Diabetic Retinopathy Fluorescein Angiogram of Proliferative Diabetic RetinopathyMar 21 2013 by Yusuke Oshima, MD, PhD Wide-field fluorescein angiogram demonstrating prominent leakage from the NVD and scattered non-perfusion areas at the mid-pheriphery. Photographer: Yusuke Takada, Osaka University Graduate School of Medicine 
- 
    ---thumb.jpg/image-square;max$300,300.ImageHandler) Rhegmatogeous Retinal Detachment Rhegmatogeous Retinal DetachmentMar 21 2013 by Yusuke Oshima, MD, PhD Wide-field fundus photograph of a 58-year-old woman with a macula-involved bullous retinal detachment due to a superotemporal retinal break. Photographer: Yusuke Takada, Osaka University Graduate School of Medicine Imaging device: OPTOS 200Tx Condition/keywords: bullous retinal detachment 
- 
     Rhegmatogeous Retinal Detachment Rhegmatogeous Retinal DetachmentMar 21 2013 by Yusuke Oshima, MD, PhD Wide-field fundus photograph of a 38-year-old woman with a macula-involved retinal detachment due to a tiny break localized around the edge of a lattice degeneration. Photographer: Yusuke Takada, Osaka University Graduate School of Medicine Imaging device: OPTOS 200Tx 
- 
     Diabetic Traction Retinal Detachment Diabetic Traction Retinal DetachmentMar 21 2013 by Yusuke Oshima, MD, PhD Wide-field fundus photograph of a 56-year-old man with tractional retinal detachment due to proliferative diabetic retinopathy. Photographer: Yusuke Takada, Osaka University Graduate School of Medicine Imaging device: OPTOS 200Tx 
