-
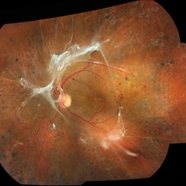
Tractional Retinal Detachment, PDR
Mar 20 2013 by John Golding, BA Dip. App. Photography
Fundus photograph of a 55-year-old man.
Photographer: John Golding, Herzig Eye Institute
Imaging device: Topcon TRC-50-DX
Condition/keywords: diabetic mellitus, tractional retinal detachment
