-
Candida Albicans Endophthalmitis
Mar 17 2013 by David Callanan, MD
28-year-old male with 1 week history of decreased vision. Following biopsy and treatment, patient admitted to illicit intravenous drug use.
Condition/keywords: endogenous endophthalmitis
-
VKH1
May 14 2013 by David Callanan, MD
Photos of both eyes of a 66-year-old male with a 4 year history of VKH treated with oral prednisone and mycophenolate. His presenting acuity was hand motions OD and counting fingers at 4 feet OS. Now 20/20-1 OU. Areas of previous inflammatory activity are seen as atrophic scars now.
-
VKH2
May 14 2013 by David Callanan, MD
Photos of both eyes of a 66-year-old male with a 4 year history of VKH treated with oral prednisone and mycophenolate. His presenting acuity was hand motions OD and counting fingers at 4 feet OS. Now 20/20-1 OU. Areas of previous inflammatory activity are seen as atrophic scars now.
-
VKH3
May 14 2013 by David Callanan, MD
Photos of both eyes of a 66-year-old male with a 4 year history of VKH treated with oral prednisone and mycophenolate. His presenting acuity was hand motions OD and counting fingers at 4 feet OS. Now 20/20-1 OU. Areas of previous inflammatory activity are seen as atrophic scars now.
-
VKH4
May 14 2013 by David Callanan, MD
Photos of both eyes of a 66-year-old male with a 4 year history of VKH treated with oral prednisone and mycophenolate. His presenting acuity was hand motions OD and counting fingers at 4 feet OS. Now 20/20-1 OU. Areas of previous inflammatory activity are seen as atrophic scars now.
-
VKH5
May 14 2013 by David Callanan, MD
Photos of both eyes of a 66-year-old male with a 4 year history of VKH treated with oral prednisone and mycophenolate. His presenting acuity was hand motions OD and counting fingers at 4 feet OS. Now 20/20-1 OU. Areas of previous inflammatory activity are seen as atrophic scars now.
-
Treated VKH
May 14 2013 by David Callanan, MD
Photos of both eyes of a 66-year-old male with a 4 year history of VKH treated with oral prednisone and mycophenolate. His presenting acuity was hand motions OD and counting fingers at 4 feet OS. Now 20/20-1 OU. Areas of previous inflammatory activity are seen as atrophic scars now.
-
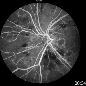
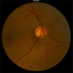
Systemic Lupus Erythematosys with Retinal Detachment
Feb 20 2014 by David Callanan, MD
36-year-old female with systemic lupus erythematosys with retinal detachment.
Condition/keywords: systemic lupus erythematosus (SLE) retinopathy
-
Systemic Lupus Erythematosys with Retinal Detachment
Feb 20 2014 by David Callanan, MD
36-year-old female with systemic lupus erythematosys with retinal detachment.
Condition/keywords: systemic lupus erythematosus (SLE) retinopathy
-
X-Linked Retinoschisis / Female
Jun 16 2014 by David Callanan, MD
34-year-old white female, x-linked retinoschisis.
Condition/keywords: x-linked retinoschisis (XLRS)
-
Radiation Retinopathy
Mar 12 2016 by David Callanan, MD
55-year-old with background diabetic retinopathy that developed renal cell carcinoma. Underwent radiation to left orbit.
Condition/keywords: radiation maculopathy
-
Radiation Retinopathy
Mar 12 2016 by David Callanan, MD
55-year-old with background diabetic retinopathy that developed renal cell carcinoma. Underwent radiation to left orbit.
Condition/keywords: radiation maculopathy
-
Radiation Retinopathy
Mar 12 2016 by David Callanan, MD
55-year-old with background diabetic retinopathy that developed renal cell carcinoma. Underwent radiation to left orbit
Condition/keywords: radiation maculopathy
-
Radiation Retinopathy
Mar 12 2016 by David Callanan, MD
55-year-old with background diabetic retinopathy that developed renal cell carcinoma. Underwent radiation to left orbit. BDR in right eye
Condition/keywords: radiation maculopathy
-
Radiation Retinopathy
Mar 12 2016 by David Callanan, MD
55-year-old with background diabetic retinopathy that developed renal cell carcinoma. Underwent radiation to left orbit
Condition/keywords: radiation maculopathy
-
Radiation Retinopathy
Mar 12 2016 by David Callanan, MD
55-year-old with background diabetic retinopathy that developed renal cell carcinoma. Underwent radiation to left orbit. Extensive capillary dropout OS.
Condition/keywords: radiation maculopathy
-
Radiation Retinopathy
Mar 12 2016 by David Callanan, MD
55-year-old with background diabetic retinopathy that developed renal cell carcinoma. Underwent radiation to left orbit. Only BDR in right eye
Condition/keywords: radiation maculopathy
-
Optic Disc Drusen Autofluorescence
Apr 2 2016 by David Callanan, MD
30-year-old Caucasian male with visual field defect OD > OS.
Condition/keywords: optic disc drusen
-
Optic Disc Drusen Autofluorescence
Apr 2 2016 by David Callanan, MD
30-year-old Caucasian male with visual field defect OD > OS.
Condition/keywords: optic disc drusen
-
Optic Disc Drusen
Apr 2 2016 by David Callanan, MD
30-year-old Caucasian male with visual field defect OD > OS.
Condition/keywords: optic disc drusen
-
Optic Disc Drusen
Apr 2 2016 by David Callanan, MD
30-year-old Caucasian male with visual field defect OD > OS.
Condition/keywords: optic disc drusen
