-
Choroidal melanoma 1 - colour photo
Jan 11 2013 by Alex P. Hunyor, MD
Large choroidal melanoma with "collar stud" appearance. See accompanying FA showing tumour circulation.
Condition/keywords: melanoma
-
Choroidal melanoma 1 - fluorescein angiogram
Jan 11 2013 by Alex P. Hunyor, MD
Choroidal melanoma - fluorescein angiogram showing tumour circulation.
-
Choroidal Melanoma case 2 image 1
Jan 11 2013 by Alex P. Hunyor, MD
Large right choroidal melanoma - color image 1 of 2
-
Choroidal melanoma case 2 image 2
Jan 11 2013 by Alex P. Hunyor, MD
Large right choroidal melanoma - color image 2 of 2
Condition/keywords: melanoma
-
Choroidal melanoma case 3 - peripapillary
Jan 11 2013 by Alex P. Hunyor, MD
Right peripapillary choroidal melanoma.
-
Choroidal melanoma case 4 - partly amelanotic
Jan 11 2013 by Alex P. Hunyor, MD
Choroidal melanoma with amelanotic "collar stud."
Condition/keywords: melanoma
-
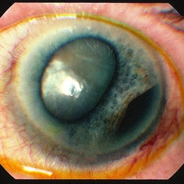
Ciliochoroidal melanoma case 1 image 1
Jan 11 2013 by Alex P. Hunyor, MD
Large superior ciliochoroidal melanoma, right eye - as seen in pupil.
-
Ciliochoroidal melanoma case 1 image 2
Jan 11 2013 by Alex P. Hunyor, MD
Large superior ciliochoroidal melanoma, right eye - fundus image.
-
Ciliochoroidal melanoma case 2
Jan 11 2013 by Alex P. Hunyor, MD
Large right ciliochoroidal melanoma with episcleral "sentinel" vessel.
Condition/keywords: melanoma
-
Ciliary body melanoma
Jan 11 2013 by Alex P. Hunyor, MD
Left inferotemporal ciliary body melanoma with displacement of pupil, cataract, and large dilated episcleral vessels.
