-
Chronic Central Serous Chrorioretinopathy
Oct 28 2022 by Selene Rodríguez-Castro, MD
Fundus autofluorescence of a 43-year-old man with chronic central serous chrorioretinopathy, with recurrent episodes since 2020.
Photographer: Selene Rodríguez-Castro, APEC
Imaging device: clarus zeiss
Condition/keywords: chronic central serous chorioretinopathy (CSCR)
-
Chronic Central Serous Chrorioretinopathy
Oct 28 2022 by Selene Rodríguez-Castro, MD
Fundus fotograph of a 43-year-old man with chronic central serous chrorioretinopathy, with recurrent episodes since 2020.
Photographer: Selene Rodríguez-Castro, APEC
Imaging device: clarus zeiss
Condition/keywords: chronic central serous chorioretinopathy (CSCR)
-
Coats Disease
Mar 29 2023 by Selene Rodríguez-Castro, MD
15-year-old male patient with recent diagnosis of Coats Disease
Photographer: Selene Rodríguez-Castro, APEC
Imaging device: clarus zeiss 700
Condition/keywords: Coats disease
-
Coats Disease
Mar 29 2023 by Selene Rodríguez-Castro, MD
15-year-old male patient with recent diagnosis of Coats Disease
Photographer: Selene Rodríguez-Castro, APEC
Imaging device: clarus zeiss 700
Condition/keywords: Coats' disease
-
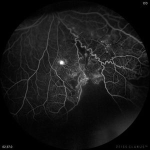
Proliferative Diabetic Retinopathy Angiography
Jan 22 2024 by Selene Rodríguez-Castro, MD
PDR
Photographer: Selene Rodríguez- Castro, APEC
Condition/keywords: background diabetic retinopathy (BDR)
-
Proliferative Diabetic Retinopathy Angiography
Jan 22 2024 by Selene Rodríguez-Castro, MD
PDR
Photographer: Selene Rodríguez- Castro, APEC
Condition/keywords: background diabetic retinopathy (BDR)
-
Proliferative Diabetic Retinopathy
Jan 22 2024 by Selene Rodríguez-Castro, MD
Proliferative Diabetic Retinopathy
Photographer: Selene Rodríguez-Castro, APEC
Imaging device: optos
Condition/keywords: Diabetes, Proliferative Diabetic retinopathy
