-
Optic disc pit - L stereo
Jan 11 2013 by Alex P. Hunyor, MD
Optic disc pit - L stereo.
Condition/keywords: congenital optic nerve pit, optic disc pit
-
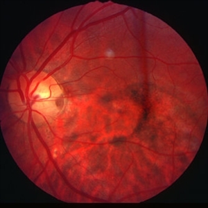
Optic disc pit - R stereo
Jan 11 2013 by Alex P. Hunyor, MD
Optic disc pit - R stereo. Note chronic RPE changes from subretinal fluid
Condition/keywords: congenital optic nerve pit, optic disc pit
-
Optic disc pit 2
-
Optic disc pit 3
Jan 11 2013 by Alex P. Hunyor, MD
Optic disc pit left eye.
Condition/keywords: congenital optic nerve pit, optic disc pit
