- 
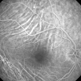
     Bilateral Idiopathic Choroidal Folds Bilateral Idiopathic Choroidal FoldsJan 11 2013 by Gerardo Garcia-Aguirre, MD Fundus photograph of the right eye showing choroidal folds. Imaging device: Zeiss FF4 Condition/keywords: choroidal folds 
- 
     Bilateral idiopathic choroidal folds Bilateral idiopathic choroidal foldsJan 11 2013 by Gerardo Garcia-Aguirre, MD Fundus photograph showing choroidal folds. Imaging device: Zeiss ff4 Condition/keywords: choroidal folds 
- 
     Idiopathic Choroidal Folds - Fluorescein Angiogram Idiopathic Choroidal Folds - Fluorescein AngiogramJan 11 2013 by Gerardo Garcia-Aguirre, MD Fluorescein Angiogram showing choroidal folds. Imaging device: Zeiss FF4 Condition/keywords: choroidal folds 
- 
     Choroidal Folds - Fluorescein Angiogram Choroidal Folds - Fluorescein AngiogramJan 11 2013 by Gerardo Garcia-Aguirre, MD Fluorescein angiogram. Photographer: Gerardo Garcia-Aguirre, MD Imaging device: Zeiss FF4 Condition/keywords: choroidal folds 
- 
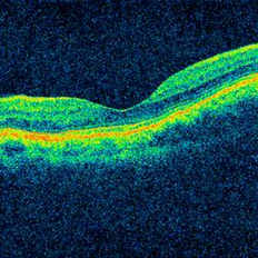
     Bilateral Idiopathic Choroidal Folds - OCT Bilateral Idiopathic Choroidal Folds - OCTJan 11 2013 by Gerardo Garcia-Aguirre, MD OCT of the macula showing choroidal folds. Photographer: Gerardo Garcia-Aguirre, MD Imaging device: Zeiss Cirrus HD OCT Condition/keywords: choroidal folds 
- 
     Bilateral Idiopathic Choroidal Folds Bilateral Idiopathic Choroidal FoldsJan 11 2013 by Gerardo Garcia-Aguirre, MD 3D reconstruction of the RPE showing choroidal folds. Photographer: Gerardo Garcia-Aguirre, MD Imaging device: Zeiss Cirrus HD OCT Condition/keywords: choroidal folds 
