-
Outer Retinal Tear in Schisis-Detachment - Mosaic Photo
Mar 25 2016 by Gregory R. Blaha, MD, PhD
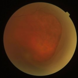
Large outer retinal tear in combined retinoschisis-detachment. The retinal vessels are visible going over the retinal break.
Photographer: Janice Neal, Gurley Eye Care Associates
Imaging device: Topcon Mark II
Condition/keywords: retinal tear, retinoschisis
-
Outer Retinal Tear in Schisis-Detachment
Mar 25 2016 by Gregory R. Blaha, MD, PhD
Large outer retinal tear in combined retinoschisis-detachment. The retinal vessels are visible going over the retinal break.
Photographer: Janice Neal, Gurley Eye Care Associates
Imaging device: Topcon Mark II
Condition/keywords: retinal tear, retinoschisis
-
Star Fold
Nov 1 2021 by Gregory R. Blaha, MD, PhD
Star fold in retinal detachment with 1 month of decreased vision.
Photographer: Jonathan Rosen
Imaging device: Optos California
Condition/keywords: star folds
-
Star Fold
Nov 1 2021 by Gregory R. Blaha, MD, PhD
Star fold in retinal detachment with 1 month of decreased vision.
Photographer: Jonathan Rosen
Imaging device: Optos California
Condition/keywords: star folds
