-
PDR and CRVO after COVID-19
Jan 20 2022 by Kyle D Kovacs, MD
Fluorescein angiogram of 21 year-old male with Type 1 DM, with new diagnosis of PDR and CRVO 6 months following hospitalization for DKA and COVID-19 pneumonia, noted acute deterioration in vision during hospitalization. Bilateral non-perfusion and florid neovascularization.
Imaging device: Optos Silverstone
Condition/keywords: COVID-19, Diabetes mellitus type 1, florid neovascularization, ischemic CRVO, proliferative diabetic retinopathy (PDR)
-
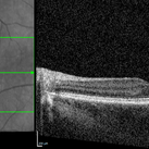
NIR and OCT Left Eye Early Parafoveal Changes Plaquenil
Jan 14 2025 by Kyle D Kovacs, MD
58 year old woman with 11 year history of plaquenil use with early parafoveal outer retinal attenuation and bull's eye on near-infrared imaging. Left eye
Condition/keywords: OCT, plaquenil toxicity
-
NIR and OCT Right Eye Early Parafoveal Changes Plaquenil
Jan 14 2025 by Kyle D Kovacs, MD
58 year old woman with 11 year history of plaquenil use with early parafoveal outer retinal attenuation and bull's eye on near-infrared imaging. Right eye.
Condition/keywords: OCT, plaquenil toxicity
