-
Deferoxamine retinopathy slide 4
Oct 22 2012 by Ronald C. Gentile, MD
Changes on flourescein angiography were relatively symmetric and involved the posterior pole.
Photographer: The New York Eye & Ear Infirmary Department of Medical Imaging
Condition/keywords: angioid streaks, Deferoxamine retinopathy, Thalassemia intermedia
-
Deferoxamine Retinopathy Slide 2
Oct 22 2012 by Ronald C. Gentile, MD
Fundus examination revealed speckled pigmentation of the macula with disturbance of the retinal pigment epithelium and photoreceptors greater in the left eye compared to the right eye.
Photographer: The New York Eye & Ear Infirmary Department of Medical Imaging
Condition/keywords: angioid streaks, Deferoxamine retinopathy, Thalassemia intermedia
-
Deferoxamine Retinopathy slide 1
Oct 22 2012 by Ronald C. Gentile, MD
44-year-old man complained of decreased vision in both eyes with chromotopsia. He has a history of thalassemia intermedia with iron overload treated with deferoxamine.
Photographer: The New York Eye & Ear Infirmary Department of Medical Imaging
Condition/keywords: angioid streaks, Deferoxamine retinopathy, Thalassemia intermedia
-
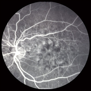
Deferoxamine Retinopathy slide 3
Oct 22 2012 by Ronald C. Gentile, MD
Flourescein angiography revealed wide spread disturbance of the retinal pigment epithelium with hypo and hyper flourescence. Angioid streaks are also present.
Photographer: The New York Eye & Ear Infirmary Department of Medical Imaging
Condition/keywords: angioid streaks, Deferoxamine retinopathy, Thalassemia intermedia
