-
Full Thickness Macular Hole OCT
Apr 10 2024 by Tareq Alsulami
OCT of an 14 years old man with Full Thickness Macular Hole after direct exposure of the blue laser to his eye
Photographer: Tareq alsulami ophthalmic technician-king Abdullah Medical City-Saudi Arabia
Imaging device: Heidelberg
Condition/keywords: Macular hole
-
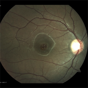
Thickness Macular Hole
Apr 10 2024 by Tareq Alsulami
Fundus photography of an 14 years old man with Full Thickness Macular Hole after direct exposure of the blue laser to his eye
Photographer: Tareq alsulami ophthalmic technician-king Abdullah Medical City-Saudi Arabia
Imaging device: ZEISS
Condition/keywords: holes, macular
