-
Focal Choroidal Excavation and Epiretinal Membrane
Jun 27 2019 by Andre Beckenkamp
56 y.o. male complaining of blurred vision.
Photographer: Andre Beckenkamp
Imaging device: Nidek RS 3000
Condition/keywords: choroidal excavation, epiretinal membrane (ERM)
-
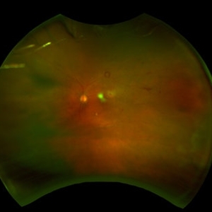
Choroidal Neovascular Membrane Evolving With Subretinal Hemorrhage
Apr 23 2021 by Andre Beckenkamp
Wide angle fundus photograph of an 82-year-old woman with dry AMD in her right eye and wet AMD in the left eye, evolving with subretinal hemorrhage and associated serous retinal detachment.
Photographer: Andre Beckenkamp
Imaging device: Optos Daytona
Condition/keywords: age-related macular degeneration (AMD), serous retinal detachment, subretinal hemorrhage, wet age-related macular degeneration (wet AMD)
-
Vascular Loop in Proliferative Diabetic Retinopathy
Sep 17 2021 by Andre Beckenkamp
Wide field Optos of a 75 year-old woman with untreated proliferative diabetic retinopathy and vascular loop.
Photographer: André Beckenkamp
Imaging device: Optos
Condition/keywords: proliferative diabetic retinopathy (PDR), vascular loop
-
Toxoplasmosis Macular Scar
Mar 8 2024 by Andre Beckenkamp
Optos image of a patient with extensive choriorretinal scar due to toxoplasmosis infection.
Photographer: Andre Beckenkamp,MD , Prevent Senior
Condition/keywords: toxoplasmosis
