-
Von Hippel-Lindau
-
Von Hippel-Lindau
Apr 8 2019 by Gary R. Cook, MD, FACS
FA image of capillary non-perfusion and retinal angiomas of Von Hippel-Lindau OS.
Condition/keywords: fluorescein angiogram (FA), Von Hippel-Lindau
-
Von Hippel-Lindau
Apr 8 2019 by Gary R. Cook, MD, FACS
Retinal angioma OD in Von Hippel-Lindau.
Condition/keywords: retinal angioma, Von Hippel-Lindau
-
Von Hippel-Lindau
Apr 8 2019 by Gary R. Cook, MD, FACS
Fundus photo immediately after laser photocoagulation treatment of the retinal angioma OD in Von Hippel-Lindau.
Condition/keywords: laser photocoagulation, retinal angioma, Von Hippel-Lindau
-
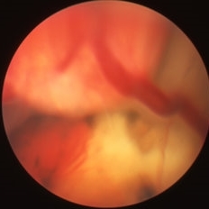
Von Hippel-Lindau
Apr 8 2019 by Gary R. Cook, MD, FACS
Large retinal angioma OS secondary to Von Hippel-Lindau.
Condition/keywords: retinal angioma, Von Hippel-Lindau
-
Peripapillary Angioma
Apr 8 2019 by Gary R. Cook, MD, FACS
57-year-old white female with a peripapillary angioma OS secondary to Von Hippel-Lindau.
Condition/keywords: retinal angioma, Von Hippel-Lindau
-
Von Hippel-Lindau
Apr 8 2019 by Gary R. Cook, MD, FACS
20-year-old patient with a peripheral retinal angioma OS and dilated feeder vessel secondary to Von Hippel-Lindau.
Condition/keywords: retinal angioma, Von Hippel-Lindau
